Chondromalacja chrząstki stawowej. Jak ją leczyć?
Zmiany zwyrodnieniowe chrząstki stawowej uznawane są aktualnie za jedną z chorób cywilizacyjnych w krajach wysoko rozwiniętych. Od lat specjaliści zajmujący się zapobieganiem uszkodzeń tkanki chrzęstnej nie znajdują jednej, skutecznej metody walki z tym schorzeniem.
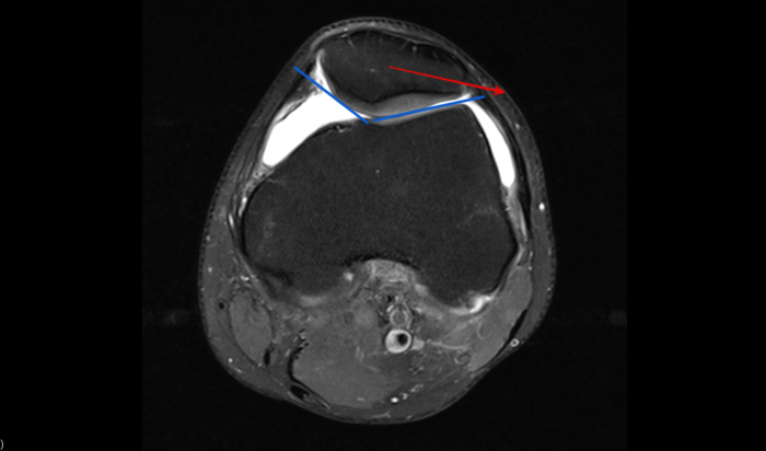
Jednym z głównych typów uszkodzenia struktury otaczającej Twoje stawy jest chondromalacja. Ta dość specyficzna choroba pojawia się zazwyczaj w obrębie stawu rzepkowo-udowego i niezwykle często ujawnia się w wynikach MRI nawet u osób nie odczuwających dolegliwości bólowych w jego obrębie.
Czym właściwie jest ta słynna chondromalacja? Jak można jej zapobiec lub zahamować proces progresji zmian już powstałych? Czy ruch faktycznie doprowadza do progresji choroby i na pewno warto się go bać? Zweryfikujmy fakty i mity dotyczące procesu rozmiękczania chrząstki.
Co to jest chondromalacja?
Na początku tego postu warto przypomnieć, iż zmiany zwyrodnieniowe chrząstki stawowej dotykają każdego człowieka i nie ma od tego wyjątków. Starzenie się komórek tej struktury to tak samo fizjologiczny proces jak pojawienie się zmarszczek, czy zmniejszenie się ilości tkanki mięśniowej na rzecz tkanki tłuszczowej wraz z wiekiem.
Chrząstka stawowa ma jednak szczególne właściwości. Jej nietypowa budowa i ogromna wytrzymałość pozwala na przyjmowanie obciążeń i codzienną eksploatację podczas ruchu człowieka przez długie lata. Niestety, nie jest ona niezniszczalna i również ulega procesom degeneracji. Nieprawidłowe lub nadmierne obciążenie stawu, brak ruchu lub jego zły wzorzec, a nawet niedobory składników pokarmowych w diecie mogą przyspieszyć osłabienie chrząstki. To właśnie owe zmniejszenie wytrzymałości prowadzące finalnie do rozmiękczenia struktury pokrywającej Twoje stawy nazywamy chondromalacją.
Lubię porównywać powierzchnię stawową i toczący się na niej proces zmian zwyrodnieniowych do jabłka. Po zakończeniu wzrostu jest gładkie, dobrze „odżywione” i względnie twarde z wierzchu. Wystarczy jednak mocniejsze uderzenie (np. uraz w przypadku kolana), a na jego powierzchni pojawia się trwałe „rozmiękczenie”. Słabsze miejsce powoli zaczyna zmieniać swoją strukturę, finalnie prowadząc do całkowitego zepsucia się owocu.
Taki sam proces dzieje się w tkance chrzęstnej. Słaby punkt na jej powierzchni powstały w wyniku np. nieprawidłowej pracy rzepki prowadzi do „rozmiękczenia” głębszych warstw chrząstki, a proces dalszego, szybkiego uszkadzania się komórek chondrocytów to właśnie tytułowa chondromalacja. Czy można jej jakoś zapobiec?
Znajdź przyczynę chondromalacji.
Przede wszystkim jak już wywnioskowałaś/łeś z powyższego akapitu sama chondromalacja jest tylko skutkiem innego zaburzenia lub urazu Twojego stawu. Patrząc na staw rzepkowo-udowy zawsze warto zastanowić się co tak naprawdę jest główną przyczyną problemu. Może koślawość lub szpotawość stawu kolanowego? Może uraz chrzęstno-kostny w przeszłości, w wyniku którego przez kolejne lata doszło do uszkodzenia głębszych warstw chrząstki?
Jeśli chcesz zapobiec dalszym zmianom w strukturze chroniącej Twoje stawy zawsze staraj się pomyśleć co tak naprawdę jest jej głównym czynnikiem uszkadzającym. Tylko dzięki zniwelowaniu przyczyny zmian jesteś w stanie skutecznie zahamować postępujący proces chondromalacji.
Oczywiście, zdarzają się przypadki pacjentów mających genetycznie słabszą budowę chrząstki stawowej. Pamiętaj jednak, że prawidłowo dobrana aktywność fizyczna potrafi wpłynąć na nią bardzo pozytywnie, a regularna stymulacja dobrze dostosowanym obciążeniem stawu potrafi ją niejako „utwardzić” i przyzwyczaić do wybranego przez Ciebie rodzaju ruchu. To nie prawda, że pacjent z chondromalacją nie może uprawiać sportu, jednak musi on dokładnie wiedzieć jaka aktywność jest dla niego dobra, a jaka wyrządza mu coraz więcej szkody w warstwie chrzęstnej.

Przyczyną powstania chondromalacji rzepki może być między innymi dysplazja stawu rzepkowo-udowego lub przyparcie rzepki do kłykcia bocznego kości udowej spowodowane np. koślawością kolan.
Co z suplementacją?
Na rynku jest oczywiście mnóstwo suplementów mających na celu poprawę jakości pracy naszych stawów. Począwszy od doustnie przyjmowanej glukozaminy, skończywszy na kwasie hialuronowym w wersji iniekcji (o samym kwasie więcej przeczytasz w poście: “Kwas hialuronowy w ortopedii. Kiedy warto go stosować?”). Osobiście jako fizjoterapeuta nie jestem zwolennikiem chemicznie wytwarzanych specyfików, z których znaczna większość po prostu nie działa długotrwale lub wchłania się w tak znikomych ilościach, że w żaden sposób nie może mieć pozytywnego wpływu na Twoją chrząstkę.
Pieniądze, które co miesiąc przeznaczasz na tabletki „na stawy” zainwestuj lepiej w karnet na basen czy siłownię, nowe buty do spacerów lub porządną fizjoterapię. Cytując bardzo stare powiedzenie: „ruch potrafi zastąpić prawie każdy lek, ale żaden lek nie zastąpi ruchu”. Wystarczy tylko dobrze dobrać aktywność fizyczną, prawidłowo ją dawkować i cieszyć się z jej wysokiej skuteczności w zahamowaniu postępu chondromalacji chrząstki stawowej.
Spoko, z zahamowaniem chondromalacji można sobie poradzić. Co jednak z regeneracją? Jeśli pacjent ma 3 lub 4 stopień, endoproteza? A co z zabiegiem Cellular Matrix – osocze bogatopłytkowe z kwasem… Czytaj więcej »
Witam, moim zdaniem nie da się w ten sposób odbudować chrząstki stawowej. Nawet komórki macierzyste nie do końca są w stanie tego dokonać, tym bardziej PRP plus HA. Tu Bardziej… Czytaj więcej »
No ok panie Piotrze, to co Pan proponuje przy bocznym przyparcie rzepki w sensie do ćwiczenia w domu, korzystam z pomocy fizjoterapeuty dwa razy w miesiącu i czuję się bardzo… Czytaj więcej »
Witam, skoro Pana fizjoterapeuta pana obejrzał, zbadał i zalecił ćwiczenia to ma Pan dokładnie takie ćwiczenia, jakie Pan potrzebuje. 🙂 Nie dobiera się indywidualnie ćwiczeń pacjentom przez internet, bo nie… Czytaj więcej »
Witam, moja siostra mimo młody wieku (23 lata) ma stwierdzone silne zwyrodnienie chrząstki stawowej w obu kolanach . Łączy się to u niej z dużym bólem i brakiem możliwości uprawiania… Czytaj więcej »
Witam,
https://www.fizjologika.pl/fizjoterapeuci-ktorych-polecam/#wielkopolskie
Pozdrawiam!
Witam! Jestem 7 tygodni po rekonstrukcji troczka przysrodkowego rzepki za pomoca sztucznego implantu. Do tej pory rehabilitacja szla mi bardzo dobrze. Jednak kilka dni temu, zgodnie z zaleceniami mojego fizjoterapeuty,… Czytaj więcej »
Witam,
obrzęk może spowodować inne “układanie się” rzepki w stawie rzepkowo-udowym. Proszę słuchać swojego lekarza prowadzącego i na razie się po prostu rehabilitować. Pozdrawiam.
Witam serdecznie, Od czerwca ból w okolicy stawu kolanowego nie daje mi żyć, ból najsilniejszy jest nad ranem zaraz po przebudzeniu. Byłam już na trzech wizytach u ortpedy, który zlecił… Czytaj więcej »
Witam, jeśli nie jest pani nastolatką to takie zmiany mogą być kompletnie naturalne i związane z wiekiem. Takie zmiany to nic nadzwyczajnego jeśli nie dają dolegliwości bólowych. jeśli dają trzeba… Czytaj więcej »
Witam jeżeli kwas hialuronowy nie dał oczekiwanych efektów czego warto spróbować orthokine komórki macierzyste PRP .Pozdrawiam Sebastian
Witam 🙂 w jaki sposob czy dana aktywność fizyczna jest dla mnie odpowiednia , odpowiednia dla chrząstki (1-2 stopien) , obecnie biegam skacze nie ma żadnego bólu i zastanawiam sie… Czytaj więcej »
Witam,
nie rozumiem do końca pytania. Proszę bardziej szczegółowo opisać o co chodzi. 🙂 Pozdrawiam!
Witam. 3 tyg temu przeszłam artroskopie – wycięcie przerośniętego faldu, shaving rogu przedniego łąkotki przyśrodkowej i shaving chrząstki oraz wszczepienie membrany hyalofast. Zgniecie mam dobre, zreszta nawet jak szlam na… Czytaj więcej »
Witam, nie pozostaje Pani nic innego jak dalej pracować mocno z fizjoterapeutą nad wyprostem i słuchać jego zaleceń, a kolano z czasem powinno się wyprostować. Może potrzebuje do tego łańcucha… Czytaj więcej »
Witam mam pytanie czy membrana Hylofast mozna zawsze zastosowac nawet przy duzym ubytku chrząstki stawowej.
Witaj a co Pan zaradzi przy takim opisie rezonansu: chrząstka w bocznej części powierzchni stawowej rzepki ma zmniejszoną grubość – bez głębokich ubytków- cechy chondropatii II stopnia. Przedział boczny :… Czytaj więcej »
Witam,
moim zdaniem w pierwszej kolejności skonsultować się z fizjoterapeutą. Pozdrawiam!
Witam. 2 miesiące temu doznałam kontuzji kolana-przesunęła mi się rzepka i uszkodzila chrząstkę. Jestem w trakcie rehabilitacji-udało mi się osiągnąć wyprost w pozycji leżącej i siedzącej. Problem stanowi chodzenie i… Czytaj więcej »
Witam, nie wiem. Musiałbym zbadać kolano, ale jeśli jest wyprost w leżeniu to pewnie problem leży w prawidłowej aktywizacji mięśniowej. Proszę zgłosić się do dobrego fizjoterapeuty, który poprowadzi Pani proces… Czytaj więcej »
Witam, u mnie chonndromalacja 3/4 stopień. Podczas artroskopii mialam podane komórki macierzyste, ale nie czuję poprawy. Kolano dalej boli i strzyka. Do tego w badaniu wyszła mi lateralizacja rzepki i… Czytaj więcej »
Witam, nie wiem czym może to być spowodowane, może wcześniejszym urazem? Musiałbym zrobić z Panią pełen wywiad i badanie żeby próbować znaleźć przyczynę. Proszę wybrać się do dobrego fizjoterapeuty na… Czytaj więcej »
Wow. Jak się cieszę, że tu trafiłem. Tak ciężko jest znaleźć jakiekolwiek sensowne informacje, nawet u ortopedy. Męczę się z przerostem błony maziowej, powstałej po usunięciu połowy łąkotki bocznej pół… Czytaj więcej »
Niestety transmisja live dostępna jest tylko na Instagramie przez 24h od jej nagrania. Pozdrawiam!
Czy napięcie pasma biodrowo-piszczelowego może być powodem chondromalacji? Czy I stopień da się cofnąć albo zatrzymać?
Witam,
nie może być powodem bezpośrednim chondromalacji. 1 stopień u osób po 25-30 roku życia jest normalnym procesem zmian w chrząstce, da się go spowolnić ewentualnie dobrą rehabilitacją. Pozdrawiam!
Witam. Mam chondromalacja IV stopnia wiec dramat. Jestem obecnie po operwcji więzadła MPFL ale lekarz stwierdził, ze tak zdegradowana chrząstka nie mogła powstać na wskutek nawykowego zwichnięcia rzepki które występowało… Czytaj więcej »
Bardzo przydatny wpis, bede tego uzywał w swojej pracy!
Mam pytanie, czy spotkał się Pan w swojej pracy z młodymi osobami z chondromalacją, które były wegetarianami/weganami i lekarz bezpośrednio upatrywał przyczyny w diecie bezmięsnej? Przeglądałam badania i tam trafiłam… Czytaj więcej »
Witam, chondromalacja jest tak złożonym tematem, że nie da się bezpośrednio określić, że na pewno dieta wegetariańska jest p[rzyczyną jej powstawania lub nie. Nie spotkałem się z opinią, że pojawiła… Czytaj więcej »
Dzien dobry, Pół roku temu miałam operację na kolanie- mikro zlamania rzepki, nalozenie membrany na ubytek wielkościa zajmujący znaczna większość powierzchni rzepki po usunięciu jej rozmiekczonych resztek oraz plastykę rzepki… Czytaj więcej »
Dzień dobry. Z uwagi na chondromalację za dwa dni będę miała podawane do kolana osocze bogatopłytkowe – w szpitalu, zabieg na NFZ. Wyczytałam w internecie (na stronach klinik prywatnych wykonujących… Czytaj więcej »
Witam, faktycznie niesterydowe leki przeciwzapalne nie są zalecane po zabiegu osocza. Lekkie procesy zapalne są w naszym organiźmie dość często porządane. Na każdym leku ma Pani informację, czy jest on… Czytaj więcej »
Czy w przypadku I stopnia chondromalacji u młodej osoby (24 lata) jest szansa regeneracji chrząstki stawowej i zlikwidowania bólu przy pomocy zastosowania komórek macierzystych? Chondromalacja prawdopodobnie pojawiła się w wyniku… Czytaj więcej »
Witam serdecznie, sporadycznie w pracy musimy dzwigać kartony. Czy może to pogorszyć stan chondromalacji?
Witam,
raczej nie ma takiej możliwości. Pozdrawiam!
Witam, mam 2 stopień chondromelacji, Rzepka też nie układa się tak jak powinna, kocham biegać i uprawiać inne sporty i nie myślę tego zaprzestać. Kolano też praktycznie cały czas czuję… Czytaj więcej »
Witam,
ciężko mi to stwierdzić nie oglądając kolana i badań obrazowych. Może wystarczy praca z fizjoterapeutą aby wyciszyć dolegliwości bólowe. Pozdrawiam!
Dzień dobry, co oznacza podchrzęstne ogniska uszkodzenia szpiku ? Nie wiem czy mam się martwić a operacje kolana mam dopiero w sierpniu..
Miałam IV stopień i jestem tydzień po czyszczeniu stawu i chondrofillerze. Lekarz kazał rozpocząć rehabilitacje i zmianę w ortezie na 30 stopni po 10 dniach. Panie Piotrze, byłam u fizjo… Czytaj więcej »
Dzień dobry, miałem pacjentów po takich zabiegach. To wszystko zależy gdzie dokładnie chondrofiller jest założony. Osobiście pewnie zaufałbym lekarzowi lub ewentualnie szukał innego fizjoterapeuty jeśli lekarz twierdzi, że aktualny działa… Czytaj więcej »
Od 7 lat nie jestem w stanie wykonywać normalnie przysiadów nawet z obciążeniem własnego ciała (po kilku seriach na następny dzień pojawia się ból). Bieganie, nordic walking, lekkie wzniesienia ok.… Czytaj więcej »
Dzień dobry, osobiście szukałbym po prostu konkretnego, dobrego lekarza od kolan i zrobił prawidłową diagnostykę co jest głównym problemem. Jeśli uszkodzona łąkotka to po takim czasie i z takimi objawami… Czytaj więcej »
Dzień dobry. 9 maja miałam operację kolana prawego – szycie lakatki bocznej, shaving i forage rzepki. Rozpoznanie: uszkodzenie tylnej części lakatki bocznej, chondromalacja rzepki prawej III stopnia, chondromalacja powierzchni stawowej… Czytaj więcej »
Dzień dobry, po dobrej rehabilitacji nie widzę przeciwwskazań do powrotu do boulder’ów. Mam wielu pacjentów po takich zabiegach, którzy z powodzeniem uprawiają ulubione sporty. Osobiście poczekałbym z powrotem do biura… Czytaj więcej »
Dziękuję za odpowiedź. W takim wypadku jestem pełna nadziei co do boulderingu 🙂 pozdrawiam serdecznie!